Ottawa Atlas of Pathology
Galleries
Search
About
Contact us
Search for:
Search Button
Menu
Close
Galleries
Search
About
Contact us
Search for:
Search Button
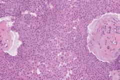
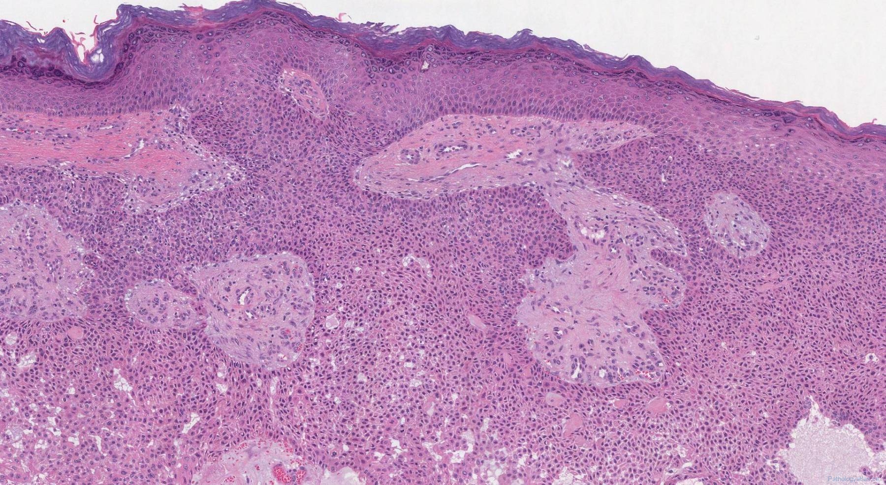
Eccrine poroma