Ottawa Atlas of Pathology
  • Galleries
  • Search
  • About
  • Contact us
Menu Close
  • Galleries
  • Search
  • About
  • Contact us

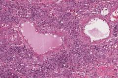
Myeloid sarcoma

Myeloid sarcoma
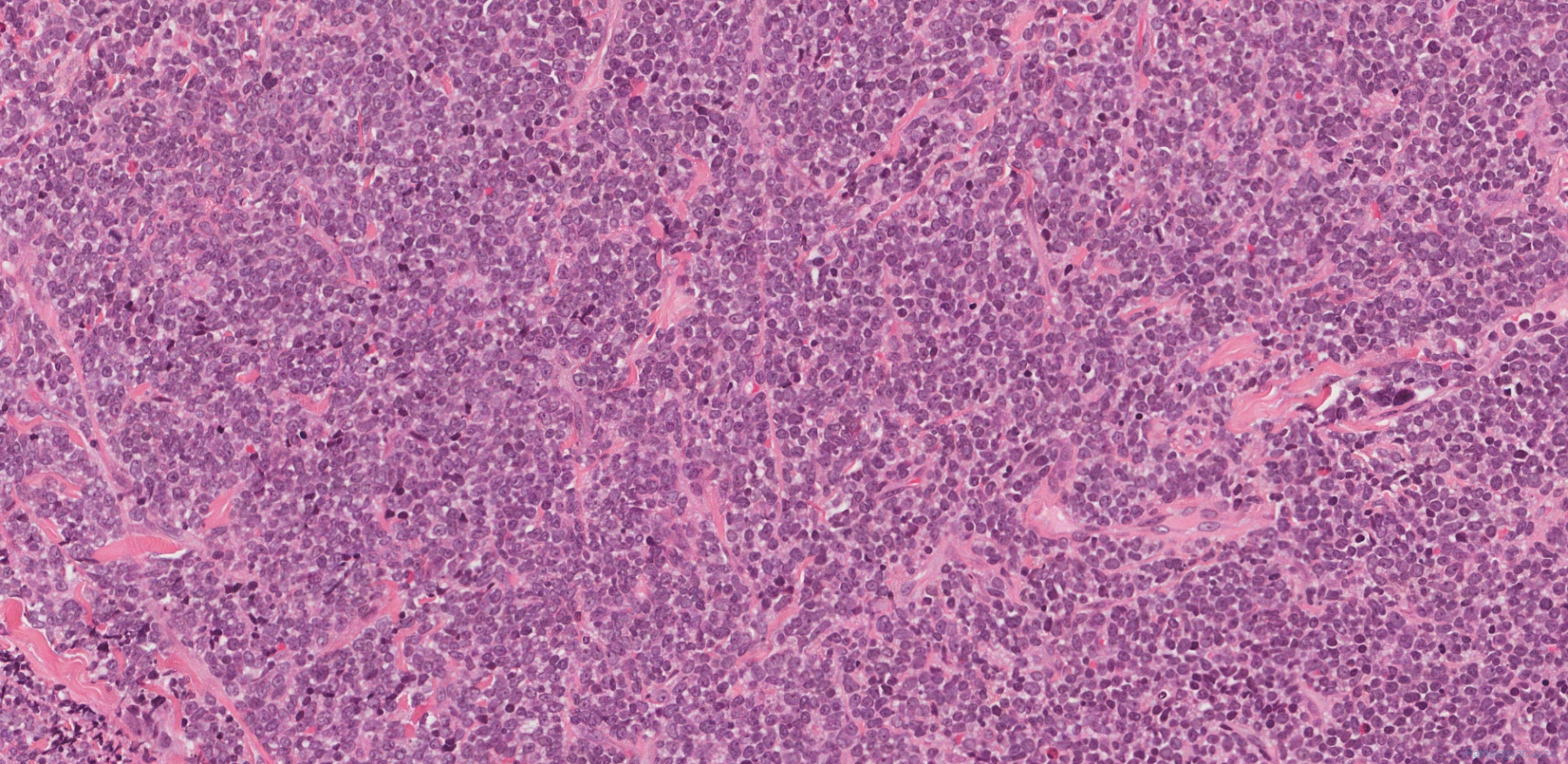
Myeloid sarcoma involving the oral cavity
Myeloid sarcoma involving the oral cavity
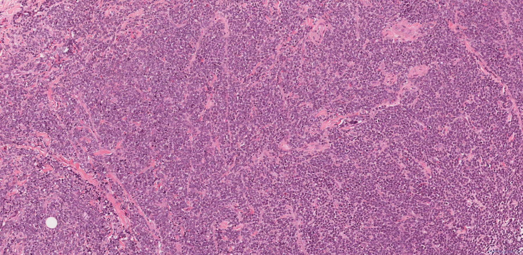
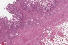
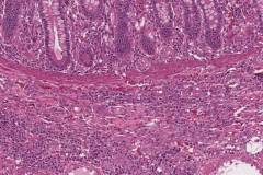
Myeloid sarcoma involving the small intestine
Myeloid sarcoma involving the small intestine
Myeloid sarcoma involving the small intestine

Copyright PathologyAtlas.ca 2026